Iron is particularly abundant in the basal ganglia. Iron deposition in the brain increases with normal aging, particularly in the basal ganglia, primarily in the form of ferritin and ferrocalcinosis. Increased iron levels in the CNS are encountered in a variety of neurodegenerative diseases, superimposed on the normal senescent iron increase in the globus pallidum, substantia nigra, red nucleus, subthalamic nucleus and dentate nucleus. Increased iron deposition is found in Parkinson’s disease, Huntington’s disease, Alzheimer’s disease, Multiple sclerosis (MS), amyotrophic lateral sclerosis, Wilson’s disease, and conditions further discussed here: Neurodegeneration with Brain Iron Accumulation (NBIA)1.
Causes include:
|
Phospholipase A2 group VI (PLA2G6)-associated |
Mitochondrial Membrane Protein-Associated |
|
| Other |
A key diagnostic feature of metal-storage diseases is the presence of metal deposits in the basal ganglia, which can be observed with brain MRI. Neurodegeneration with Brain Iron Accumulation describes a clinically and genetically heterogeneous group of disorders which affects children and adults, and is characterised by high levels of iron in the basal ganglia. There is presumed to be a common pathophysiology, and NBIA is an umbrella term used to refer to all of the individual diseases.
The NBIA disorders are associated with at least 12 different genes. Two of these are directly involved with iron homeostasis, FTL (ferritin light chain)(Neuroferritinopathy) and CP (ceruloplasmin) (Aceruloplasminemia). Caeruloplasmin and ferritin play critical roles in brain iron metabolism:
-Caeruloplasmin has a ferroxidase activity which is necessary to release iron from storage sites, and ferritin is a readily available source of intracellular iron in all cells including neurons and glia2.
Similar to disorders of copper and manganese, dystonia in the NBIA disorders typically emerges early during development and is accompanied by parkinsonism and other neurological and medical problems. Also similar to disorders of copper and manganese, the basal ganglia appear to be particularly vulnerable in NBIA. However, the mechanism responsible for dystonia in NBIA is unclear3. The diseases are associated with disorders of both biochemical pathways, such as fatty acid metabolism, as well as intracellular processes, including autophagy/mitophagy, all of which require normal function of the NBIA genes. All proteins which are defective in NBIA disorders are likely to be important for mitochondrial function.
As with many genetic conditions, there may be different phenotypes associated with involvement of the same gene. However, all the NBIA disorders manifest with degeneration of the globus pallidus and substantia nigra, associated with iron accumulation. The correct nomenclature is shown in the table, and includes disease acronyms which are clinically useful. Currently terms such as NBIA 1 etc should be avoided3.
Pantothenate kinase-associated neurodegeneration (PKAN)
PKAN is the commonest NBIA disorder, and typically starts in childhood and adolescence, although onset may occasionally be in adulthood4. The condition manifests with choreathetosis, dystonia, rigidity, bulbar dysfunction, and dementia,. The previously used Hallervorden-Spatz (HSD) eponym has unacceptable connotations due to Hallevorden’s involvement in euthanasia programs conducted in Nazi Germany. However, mutations of the PANK-2 gene are not invariably found, indicating both genetic heterogeneity as well as nosological difficulties in using the term PANK-2 to replace HSD, and the term “neurodegeneration with brain iron accumulation type 1” has been proposed for this subgroup.
PKAN is not a synucleinopathy, in contrast to other NBIA disorders, including membrane protein-associated neurodegeneration (MPAN) and PLAN.
Diagnosis
Clinical manifestations of HSS vary, and the clinical course varies between rapid progression to death over 2 years to a more protracted one5. In general, earlier age of presentation correlates with a greater degree of severity and worse prognosis. The classic childhood phenotype is relatively homogenous, as opposed to patients presenting at a later age.
Classic PKAN
Mean age of onset is three years and is characterized by dystonia being the dominant clinical presentation, typically caused by complete loss of function of the PKAN 2 protein.
Dystonia affects the legs and the child therefore presents with clumsiness and change in gait.
Obligate features:
- Onset during the first two decades of life, typically about 3-4 years, and in almost 90% of cases, prior to the age of 6.
- Gait disorder
- Evidence of extrapyramidal dysfunction, with generalized dystonia, and dystonic opisthotonus, and prominent oromandibular involvement. Chorea and parkinsonism may also be present.
Associated features:
- Corticospinal tract involvement (1/4 of cases)
- Progressive intellectual impairment (1/3 of cases). Cognitive decline may even be the presenting symptom in late-onset atypical PKAN cases
- Retinitis pigmentosa or optic atrophy.
- Acanthocytes have been reported and PKAN is therefore a neuroacanthocytosis.
Severe dysarthria and generalized dystonia, more prominent in hands, neck, and bulbar muscles are present. There was a PANK2 mutation, causing p.Asp403Val in a homozygous state.
(vv)PANK2.mp4(tt)
From: Dezfouli MA, Alavi A, Rohani M, Rezvani M, Nekuie T, Klotzle B, Tonekaboni SH, Shahidi GA, Elahi E. PANK2 and C19orf12 mutations are common causes of neurodegeneration with brain iron accumulation. Mov Disord. 2013 Feb;28(2):228-32. doi: 10.1002/mds.25271.
Two patients are shown:
Patient 1. A patient from India aged 39 years carries homozygous mutations (c.1010A>C; p.Asp337Ala) in the PANK2 gene. He developed decrease in visual acuity and dysarthria at age 12 years and lower limb dystonia and dystonic opisthotonus at age 14 years. On examination at age 34 years, he had reduced visual acuity, slow and hypometric vertical and horizontal saccades, generalized dystonia with prominent oromandibular dystonia, and severe dystonic opisthotonus, which was more evident while walking. Brain MRI revealed an “eyeâ€ofâ€theâ€tiger” sign.
Segment 2. A patient from India aged 36 years (the sister of patient 1) carries the same mutation. At age 13 years, she developed visual disturbances, dysarthia, and writer's cramp on the right.21 On examination at age 36 years, she was anarthric, and she had reduced visual acuity and pigmentary retinopathy with hypometric saccades; she also had generalized dystonia with oromandibular involvement, retrocollis, and dystonic opisthotonus with increased tone in all limbs. Brain MRI revealed an “eyeâ€ofâ€theâ€tiger” sign
(vv)PANK22.mp4(tt)
From: Stamelou M, Lai SC, Aggarwal A, Schneider SA, Houlden H, Yeh TH, Batla A, Lu CS, Bhatt M, Bhatia KP. Dystonic opisthotonus: a "red flag" for neurodegeneration with brain iron accumulation syndromes? Mov Disord. 2013 Sep;28(10):1325-9. doi: 10.1002/mds.25490.
Atypical PKAN
This refers to later onset disease where a Parkinsonian picture predominates, presumed due to partial loss of function of the PKAN 2 protein6.
The adult type is rare, presenting typically with a problem of a movement disorder, which may be more varied than in the early-onset types. At times athetosis, chorea, and myoclonus may predominate; nevertheless, dystonia is the most frequently associated movement disorder. Megalencephaly, mental retardation and dopa responsive Parkinsonism have been described, although there is typically a poor response to levodopa7.
Atypical presentations associated with PANK mutations are described with palilalia, dysarthria, perseverative behaviour and dystonia,, associated with progressive dementia and freezing similar to that seen in Parkinson’s disease.
Inheritance
PKAN is inherited as an AR condition, with consanguinity present in some instances.
Only mutations in PANK2 lead to PKAN, and PKAN is the only disorder associated with mutations in PANK26.
Heterozygous carriers of one PANK2 mutation (ie, obligate carrier parents and unaffected carrier siblings) are not at increased risk for Parkinson disease or any common neurodegenerative disorder.
Pathophysiology
Pantothenate kinase is a regulatory enzyme in the pathway leading to synthesis of coenzyme A. Pantothenate kinase 2 is tightly regulated, which suggests either that normal cell function requires a delicate titrating of CoA levels or that the cellular “cost” of CoA synthesis is high.
In the normal brain, iron is increased in the globus pallidus, SNc and SNr, red nucleus, and cerebellar dentate nucleus. In PKAN there is increased iron content in the globus pallidus and SNr, with the rust-brown pigmentation of these regions being a striking neuropathologic feature. The iron granules are located in large astrocytes, microglial cells, and neurons. There are asymmetric partially destructive lesions of the globus pallidus, especially the GPi. Spheroids, which are large round structures containing pigment granules and surrounded by glia, represent swollen axons. In PKAN, they exist in large numbers in white and gray matter, as well as the subthalamic nucleus, pallidum and substantia nigra, and the appearance is indicative of neuroaxonal dystrophy5.
Although Lewy bodies are a feature of NBIA, in particular PLA2G6 mutations, they are not found in patients with PANK2 mutations.
Special Investigations
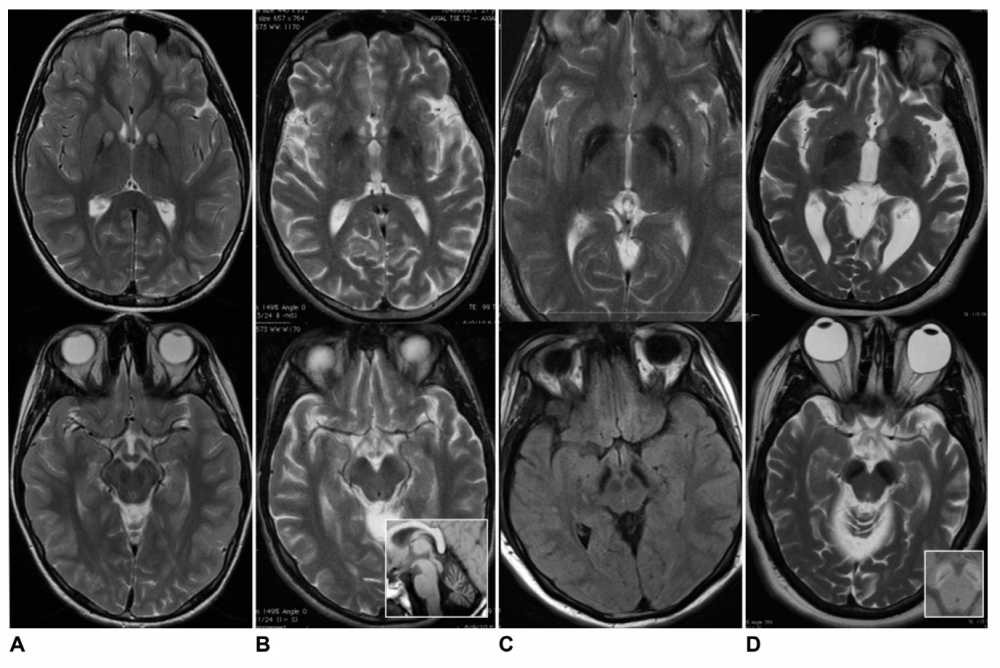
MRI studies demonstrate hypodensity in the basal ganglia, most pronounced in the globus pallidus (GP) due to the paramagnetic effect of iron and associated T2 shortening. Iron deposition is most prominent in the GP and substantia nigra, sparing the dentate.
PKAN patients often have an area of higher signal intensity in the central or anteromedial part of the globus pallidus, termed the "eye of the tiger", which correlates strongly with the presence of a PANK2 mutation, but is not exclusively found in PANK2 mutations, since it may be found in other NBIA mutations. However, most patients with other NBIA syndromes (without PANK2 mutations but mutations in other genes, for example PLA2G6-related or ATP13A2-associated NBIA) do not carry the typical “eye of the tiger” sign, since although there is iron deposition, the central hyperintensity is lacking.
Axial T2-weighted imaging of globus pallidus (top row) and substantia nigra (bottom row):
(A) Pantothenate kinase-associated neurodegeneration;
(B) Phospholipase A2-associated neurodegeneration (inset shows cerebellar atrophy);
(C) Mitochondrial membrane protein-associated neurodegeneration;
(D) Beta-propeller protein-associated neurodegeneration (inset shows T1 hyperintense “halo” in cerebellar peduncles).


Phospholipase A2-Associated Neurodegeneration (PLAN): Infantile Neuroaxonal Dystrophy and other neuroaxonal dystrophies, including NBIA associated with PLA2G6 gene mutations
Phospholipase A2 group VI (PLA2G6)-associated neurodegeneration (PLAN) includes a series of neurodegenerative diseases that result from mutations in PLA2G6. The PLA2G6 gene encodes a phospholipase A2 enzyme, which is a subclass of enzyme that catalyzes the release of fatty acids from phospholipids, and whose overall function is linked to the process of breaking down phospholipids.
Marked phenotypic variability may be seen with identical mutations. Mutated forms of PLA2G6 include missense mutations, truncated mutants, fragment deletions, and copy number variations.
PLAN can be classified into the following subtypes:
- Infantile neuroaxonal dystrophy (INAD)
- Atypical neuroaxonal dystrophy (ANAD)
- Parkinsonian syndromes which includes:
- Adult onset dystonia parkinsonism (DP)
- Autosomal recessive early-onset parkinsonism (AREP)
- Hereditary Spastic Paraplegia
The clinical phenotype of PLA2G6-associated neurodegeneration encompasses early-onset and late-onset forms:
Early Onset PLA2G6-associated neurodegeneration
INAD and ANAD have their onset in childhood, usually at the end of the first or beginning of the second year of life.
ANAD is atypical in that the age of onset ranges from 3 years to the late teens, and is characterized by slower progression, and improved survival.
Cerebellar cortical atrophy and iron deposition in the globus pallidus and substantia nigra can be detected by MRI.
Diagnosis
The neuropathological hallmark of this disease is the presence of spheroids, which are dystrophic axonal swellings found in great abundance throughout the nervous system of affected individuals.
Clinical Manifestations
Infantile neuroaxonal dystrophy is characterized by delayed milestones and subsequently, combinations of pyramidal tract signs, axial dystonia, ataxia, rigidity with dementia and seizures, lower motor neuron involvement, and early visual disturbances8.
Pathophysiology
Similar spheroids to those of neuroaxonal dystrophy are also found in HSS. Although seen in other diseases, including ataxia-telangiectasia and Tay-Sachs disease, spheroids are particularly numerous in infantile neuroaxonal dystrophy and HSS and may reflect the primary pathophysiological process. However, in HSS the dystrophic axonal swellings are largely confined to the basal ganglia, whereas they are widespread in neuroaxonal dystrophy9. However there are transitional cases in which intermediate clinical and neuropathological features are found.
In pathological examinations of individuals with the PLA2G6 mutation, abnormal α-synuclein proteins and hyperphosphorylation of tau proteins are found, which may respectively progress to become Lewy bodies and neurofibrillary tangles.
Cerebellar atrophy and degeneration of the posterior columns, pyramidal tracts, spinocerebellar tracts and optic pathways are also noted4.

Special Investigations
Progressive cerebellar atrophy is the earliest sign on MRI. Hypointensity of the globi pallida (suggestive of iron accumulation), is noted on T2-, T2*- and proton density-weighted images. The “eye of the tiger” sign of PKAN is absent, in that there is no central hyperintensity.
Iron deposition is most marked in the GP, substantia nigra, and dentate1.
Cases of ANAD may have normal MRI scans.
Late onset PLA2G6-associated neurodegeneration
DP and AREP commence in adulthood and patients have normal childhood mile-stones. Patients develop manifestations of a parkinsonian syndrome.
Gene-proven cases with onset at 10–26 years of age are described with subacute onset of levodopa-responsive dystonia-parkinsonism, pyramidal signs, eye movement abnormalities, cognitive decline, and psychiatric features.
Oculogyric crises are induced by levodopa in some cases, and and dystonic opisthotonus may be seen.
Special investigations
MRI is normal, indicating that not all forms of PLA2G6-related neurodegeneration fall into the group of NBIA.
Patient 1. A patient from Pakistan developed foot dystonia, cognitive decline, and personality changes at age 18 years, he. On examination at age 21 years, he had blepharoclonus, jerky saccadic pursuit, and asymmetric pyramidal features with spasticity, hyperreflexia, and rigidity; bradykinesia; foot dystonia; and marked opisthotonus, which worsened with walking. Brain MRI revealed no iron deposition on T2* imaging.
Patient 2. This Taiwanese woman aged 25 years caries a compound heterozygous mutation of the PLA2G6 gene (p.Asp331Tyr/p.Met358IlefsX). She noticed unsteady gait and easy falls at age 8 years, developed cognitive decline at age 18 years, and developed dystonia at age 22 years. Examination at age 25 years revealed retrocollis and dystonic opisthotonus induced by walking, parkinsonism, ataxic gait, intellectual impairment, and dysarthria. Brain MRI revealed cortical and cerebellar atrophy but no evidence of iron deposition on T2* sequences.22
(vv)PLA2.mp4(tt)
.
Mitochondrial Membrane Protein-Associated Neurodegeneration
This condition typically begins in childhood or early adulthood.
Clinical features
This includes disorders of movements and behaviour and significant cognitive impairment. Dystonia, spasticity and parkinsonism are common.
Additional features include optic atrophy, axonal neuropathy and incontinence. Late-onset disease, which may begin in the third or fourth decade, is characterised by neuropsychiatric disturbances including psychosis and dementia.
Special investigations
MRI evidence of basal ganglia iron deposition is not typically found early in the course of the illness. A specific feature of MPAN is T2-hyperintense linear streaking of the medial medullary lamina between the globus pallidus externa and interna.
Genetics
MPAN is caused by mutations in the C19orf12 gene, which encodes a mitochondrial membrane protein. The product of C19orf12 also functions in the mitochondria and is involved in coenzyme A metabolism and lipid homeostasis. The condition is autosomal recessive.
Beta-Propeller Protein associated Neurodegeneration (BPAN)
This condition is characterised by developmental delay in infancy and childhood with cognitive impairment and seizures. Language skills are limited and midline stereotypies are common, and the condition is consequently mistaken for Rett syndrome.
The majority of patients develop a movement disorder, typically dystonia or parkinsonism, beginning in adolescence or adulthood.
Special investigations
MRI may be normal in early childhood, but by the time that the movement disorder develops it has specific abnormalities, includingT2-weighted low signal in the substantia nigra and globus pallidus, and evidence of iron accumulation in the substantia nigra.
On T1 weighted images, a unique, hyperintense halo surrounding a hypointense linear streak is noted in the substantia nigra, as a result of neuromelanin release from the degenerating neurons.
Genetics
BPAN has an X-linked dominant pattern of inheritance. The condition arises due to mutations in the WDR45 gene, which is an autophagy protein with the structure of a beta-propeller scaffold protein. Males and females are phenotypically similar, likely due to somatic mosaicism in surviving males and germline or somatic mutations in females, as well as skewing of X chromosome inactivation.
Kufor–Rakeb Disease (PARK9-linked Parkinsonism)
This condition is associated with juvenile onset parkinsonism, in addition to spasticity, dementia, supranuclear gaze palsy, and perioral myokymia.
Special investigations
MRI may show iron in the striatum and globus pallidus. The majority of patients with mutations in the ATP13A2 gene do not have evidence of brain iron accumulation.
Diffuse cortical and subcortical atrophy is also present.
Genetics
The condition is due to mutations in the ATP13A2(ATPase Cation Transporting 13A2) gene.
Associated with defects in genes that encode iron homeostatic proteins, and ceruloplasmin2. This results in abnormal iron storage within peripheral tissues and brain.
Clinical features
Onset is usually in early to mid-adulthood. In addition to a neurodegenerative disorder, patients have retinopathy and diabetes. Typical findings are chorea and ataxia, in addition to psychiatric and cognitive changes.
Special investigations
MRI shows extensive accumulation of iron in brain involving regions that are normally iron-rich, including caudate, putamen, thalamus, dentate, and red nucleus, and also the globus pallidus and substantia nigra.
Genetics
The disorder arises due to mutations in the CP gene, which encodes ceruloplasmin.
Testing will reveal low or absent levels of serum ceruloplasmin.
Associated with mutations in the FTL gene, which encode the ferritin light chain.
Most reported cases hailed from North England due to a founder mutation, but unrelated cases from other ethnic backgrounds including France and Japan have also been identified.
Clinical features
The condition is characterised by a range of movement disorders, most typically chorea, dystonia, or parkinsonism. Cognitive and behavioural defects are also commonly present.
Special investigations
MRI shows extensive accumulation of iron in brain involving regions that are normally iron-rich, including caudate, putamen, thalamus, dentate, and red nucleus, in addition to the globus pallidus and substantia nigra. There are cavitated basal ganglia lesions, which are unique to neuroferritinopathy.
Serum ferritin levels are low.
Genetics
The disorder arises due to mutations in the FTL gene, which encodes the ferritin light chain. There is an autosomal dominant pattern of inheritance, with complete penetrance.
Spatacsin (SPG11)
Hereditary spastic paraplegias (HSPs) are characterized by progressive bilateral lower limb weakness; Additional features such as seizures, dementia, amyotrophy, or dysarthria may also occur in complicated HSPs.
Extrapyramidal features including dystonia and parkinsonism have been noted.
Genetics
Numerous genetic forms of HSPs can be distinguished, including autosomal-dominant, autosomal-recessive, and x-linked forms.
A major cause of recessively inherited spastic paraplegias is mutations in spatacsin (SPG11). The classic phenotype of SPG11 includes spastic paraplegia that may be complicated by peripheral neuropathy, mental impairment, and autonomic features. Dystonia-parkinsonism has been reported.
CoA synthase protein-associated neurodegeneration (CoPAN)
-Clinical: Intellectual disability, dystonia, spasticity, behavioral problems
-Gene: CoASY Coenzyme A synthase
-MRI: T2 hypointense signal in globus pallidus, less involvement of substantia nigra
Fatty acid-2 hydroxylase-associated neurodegeneration (FAHN)
-Clinical: Spasticity, ataxia, dystonia, optic atrophy, dementia and seizures
-Gene: FA2H Fatty acid 2 hydroxylase
-MRI: T2 hypointense signal in globus pallidus, diffuse cerebral atrophy, white-matter changes

