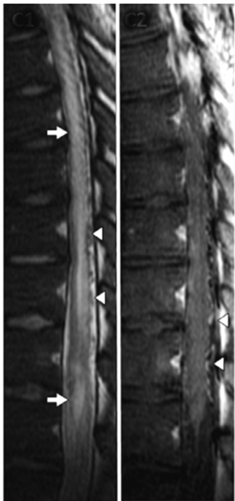
Q10: 41 year old patient presents with a rapid onset of paraplegia. He is found to be HIV positive. CSF shows elevated total protein (0,8 g/L), a mild pleocytosis (19 lymphocytes/µl), and a glucose value of 3.2. Oligoclonal bands were negative. T1 weighted s.
 |