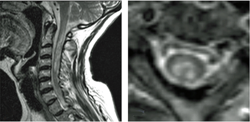
INDEX
NMOSD MOG Ab Disease Sarcoidosis Paraneoplastic Dural AVF Cord Infarction Cervical Spondylosis